
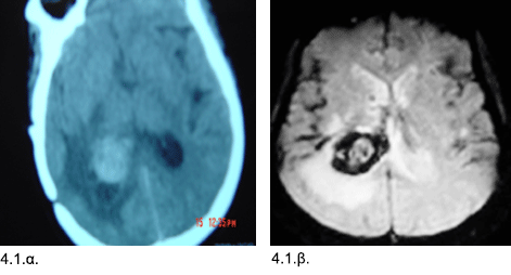
Εικόνες 4.1.α. και 4.1.β. Η αξονική τομογραφία αριστερά (4.1.α.) δείχνει την εκτεταμένη αιμορραγία σε βαθεία εντόπιση στη περιοχή συμβολής της κροταφοβρεγματικής χώρας, και η μαγνητική τομογραφία δεξιά (4.1.β.) δείχνει την υποκείμενη αιτία, δηλ. το σηραγγώδες αιμαγγείωμα που περιβάλλεται από ζώνη αιμορραγίας (σκουρόχρωμος δακτύλιος στην εικόνα.

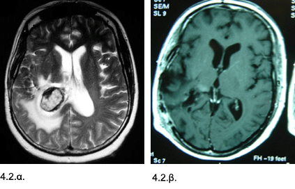
Εικόνες 4.2.α. & 4.2.β. Η προεγχειρητική μαγνητική τομογραφία (αριστερά) δείχνει με ευκρίνεια την μάζα του σηραγγώδους αιμαγγειώματος να ξεχωρίζει μέσα στην λευκάζουσα περιοχή οιδήματος και αιμορραγίας. Η μετεγχειρητική μαγνητική τομογραφία (δεξιά) δείχνει ότι το σηραγγώδες και το αιμάτωμα έχουν αφαιρεθεί μέσα από ένα περιορισμένο “διάδρομο προσπέλασης” χωρίς βλάβη στους παρακείμενους ιστούς.
Ιστορικό: Aσθενής 52 ετών με κεφαλαλγία, μείωση οράσεως και οίδημα οπτικών θηλών. Διαπιστώθηκε αιμορραγία που είχε προκληθεί από ρήξη σηραγγώδους αιμαγγειώματος. Έγινε κρανιοτομία και αφαίρεση του σηραγγώδους αιμαγγειώματος και αιματώματος. Η μετεγχειρητική πορεία ήταν ομαλή. Ο ασθενής δεν ανέπτυξε άλλα νευρολογικά προβλήματα, πέραν της μείωσης της όρασης, η οποία σταδιακά βελτιώθηκε.