
Εικόνα 1.1. Προεγχειρητική μαγνητική δεξαμενογραφία δείχνει το προσωπικό νεύρο να υφίσταται γωνίωση και πίεση από την στρεβλωμένη σπονδυλική αρτηρία πάνω στο οπίσθιο τοίχωμα του έσω ακουστικού πόρου.

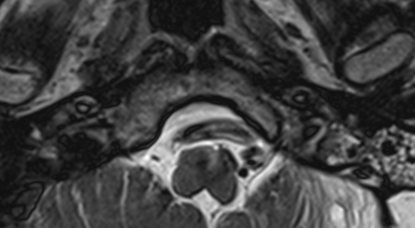
Εικόνα 1.2. Μετεγχειρητική μαγνητική δεξαμενογραφία δείχνει το προσωπικό νεύρο να μην υφίσταται γωνίωση από την σπονδυλική αρτηρία και να έχει αποσυμπιεσθεί από το οπίσθιο τοίχωμα του έσω ακουστικού πόρου.
Ιστορικό: Γυναίκα 61 ετών με συχνά ημερήσια επεισόδια ανώδυνων αλλά έντονων κλονικών σπασμών στο αριστερό ήμισυ του προσώπου, τα τελευταία επτά χρόνια, κυρίως στην περιοχή του βλεφάρου.
Η μαγνητική τομογραφία έδειξε μεγάλη πίεση και γωνίωση του προσωπικού νεύρου απο μία δολιχοεκτατική (στρεβλωμένη και διογκωμένη) σπονδυλική αρτηρία, στο σημείο που το νεύρο εισέρχεται στον έσω ακουστικό πόρο. Το πρόβλημα δεν ελέγχετο με φάρμακα, και η ασθενής είχε ήδη υποβληθεί ανεπιτυχώς σε δύο επεμβάσεις στην γεφυροπαρεγκεφαλιδική γωνία, σε άλλες κλινικές. Η δεύτερη επέμβαση είχε γίνει στο International Neuroscience Institute, στο Αννόβερο, από τον διεθνώς αναγνωρισμένο καθηγητή Madjid Samii.
Κατά την δική μας χειρουργική επέμβαση, αφαιρέθηκε το οπίσθιο τοίχωμα του στομίου του έσω ακουστικού πόρου και αυτό επέτρεψε να κινητοποιήσουμε το προσωπικό νεύρο σε σχέση με την σπονδυλική αρτηρία, ώστε να πάψει να πιέζεται. Μετά από αυτή την επέμβαση, ο κίνδυνος υποτροπής είναι μηδαμινός. Η ασθενής είχε ομαλή πορεία και έκτοτε, 5 χρόνια μετά, δεν έχει εμφανίσει υποτροπή των σπασμών.