
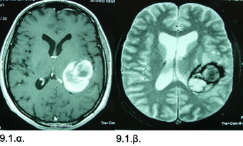
Εικόνες 9.1.α. & 9.1.β. Μαγνητική τομογραφία δείχνει ένα πολύ μεγάλο αιμάτωμα στην κροταφοβρεγματοινιακή συμβολή στο αριστερό εγκεφαλικό ημισφαίριο σε εγκάρσια τομή Τ1 [9.1.α.] και άλλη απεικόνιση Τ2 που δείχνει την περιοχή του αιματώματος και την υποκείμενη βλάβη, δηλ. το σηραγγώδες αιμαγγείωμα του οποίου η ρήξη προκάλεσε την αιμορραγία [9.1.β.].

Εικόνες 9.2.α. & 9.2.β. Μαγνητική τομογραφία πού δείχνει την πλήρη αφαίρεση του αιματώματος και του σηραγγώδους αιμαγγειώματος, δια μέσου μίας ελάχιστα επεμβατικής χειρουργικής προσπέλασης σε εγκάρσια τομή Τ1 [9.2.α.], και άλλη απεικόνιση Τ2 [9.2.β].
Ιστορικό: Γυναίκα 35 ετών, με αιφνίδια και ταχέως επιδεινούμενη κεφαλαλγία, μεγάλη αδυναμία χεριού και ποδιού δεξιά, και μεγάλη δυσχέρεια εκφοράς του λόγου (κινητική αφασία). Κατά τον απεικονιστικό έλεγχο διαπιστώθηκε ένα μεγάλο αιμάτωμα, διαμέτρου 4.5 εκ. στην συμβολή κροταφικού, βρεγματικού και ινιακού λοβού αριστερά. Στην εξέταση, διαπιστώθηκε δεξιά κροταφική ημιανοψία. Η ασθενής υποβλήθηκε σε επείγουσα κρανιοτομία αριστερά και αφαίρεση του αιματώματος και του σηραγγώδους αιμαγγειώματος που είχε ραγεί. Η μετεγχειρητική πορεία ήταν ομαλή και η ασθενής δεν ανέπτυξε άλλα νευρολογικά προβλήματα. Μέσα στο πρώτους έξι μήνες, βελτιώθηκε πλήρως η μυϊκή αδυναμία και αποκαταστάθηκε σχεδόν πλήρως η ομιλία.