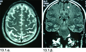
Εικόνες 13.1.α. & 13.1.β. Μαγνητική τομογραφία αναδεικνύει μικρή στρογγυλή (λευκάζουσα) περιοχή υψηλού σήματος στην έσω μετωπιαία περιοχή σε εγκάρσια (1α) και στεφανιαία προβολή (1β).

Εικόνες 13.2.α. & 13.2.β. Απλή ακτινογραφία που δείχνει την διάταξη των καταγραφικών ηλεκτροδίων στη κεφαλή (13.2.α.) και τμήμα του διεγχειρητικού ηλεκτροεγκεφαλογραφήματος που δείχνει τις αιχμές που υποδηλώνουν την έναρξη της επιληπτικής κρίσεως, στο δεξιό μέρος του γραφήματος (13.2.β.).

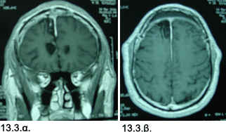
Εικόνες 13.3.α. & 13.3.β. Μαγνητική τομογραφία αναδεικνύει την μικρή ζώνη επιληπτογόνου ιστού (ως σκουρόχρωμη τριγωνική περιοχή) που αφαιρέθηκε στην δεξιά έσω μετωπιαία χώρα, προσφέροντας έλεγχο των επιληπτικών κρίσεων, σε στεφανιαία (13.3.α.) και εγκάρσια προβολή (13.3.β.).
Ιστορικό: Άνδρας 34 ετών, με ιστορικό επιληπτικών κρίσεων επί πολλά έτη, με κλινικά χαρακτηριστικά μετωπιαίας επιληψίας.
Η Μαγνητική Τομογραφία έδειξε μικρή εστία υψηλού σήματος στην αριστερή πρόσθια κεντρική έλικα, ή οποία δεν ενισχυόταν με χορήγηση παραμαγνητικών ουσιών. Η Μαγνητική Φασματοσκοπία έδειξε ήπιες αλλοιώσεις αμφοτέρων των ιπποκάμπων. Η νευροψυχολογική μελέτη έδειξε έκπτωση λειτουργιών δεξιού μετωπιαίου λοβού. Το Ηλεκτροεγκεφαλογράφημα (ΗΕΓ) ήταν φυσιολογικό.
Προεγχειρητικός έλεγχος: Κατόπιν των παραπάνω, ο ασθενής υποβλήθηκε σε Video-ΗΕΓ μακράς διαρκείας, κατά το οποίο καταγράφηκαν 6 επιληπτικές κρίσεις βραχύτατης διάρκειας (<30 δευτερόλεπτα). Με κλινικά κριτήρια, υπήρχε ένδειξη ότι η εστία ήταν στο μετωπιαίο λοβό, αλλά υπήρχε αδυναμία εντοπισμού της πλαγίωσης και της ακριβούς τοπογραφίας, λόγω ταχείας διασποράς των επιληπτόμορφων στοιχείων.
Επεμβατική αντιμετώπιση: Κατόπιν αυτών, έγινε διερεύνηση με υποσκληρίδιο πλέγμα ηλεκτροδίων και βαθέα ηλεκτρόδια, με κάλυψη όλων των πιθανών επιληπτογόνων εστιών στους δύο μετωπιαίους λοβούς. Κατά το επεμβατικό Video-ΗΕΓ, καταγράφηκε πολλά υποκλινικά ή «ηλεκτρικά» επεισόδια, και προσδιορίσθηκε μία κωνοειδής «πηγή» των επιληπτικών κρίσεων, στον πόλο του δεξιού μετωπιαίου λοβού, που περιελάμβανε το έσω 1/3 της πρόσθιας επιφάνειας, το πρόσθιο έσω 1/3 της κάτω επιφάνειας και τμήμα της πρόσθιας έσω επιφάνειας.
Επεμβατική αντιμετώπιση: Με βάση τα παραπάνω ευρήματα, έγινε ψηφιακά κατευθυνόμενη εκτομή της δεξιάς έσω μετωπιαίας έλικας και διατομή του προσθίου 1/3 των ινών του μεσολοβίου
Έκβαση: Ο πάσχων υπέστη αρκετές μετεγχειρητικές εστιακές κρίσεις τις πρώτες 8 ημέρες, και παρουσίασε αρχικά προσωρινή υπερθυμία και βουλιμία,
αλλά βελτιώθηκε σε μικρό διάστημα και έκτοτε παρέμεινε χωρίς νευρολογικό έλλειμμα και ελεύθερος επιληπτικών κρίσεων.