Τα μηνιγγιώματα αποτελούν το 15-20% των όγκων του εγκεφάλου και νωτιαίου μυελού, και είναι συχνότερα στις γυναίκες.
Είναι καλοήθεις όγκοι που προέρχονται από κύτταρα της αραχνοειδούς μήνιγγας, της μεμβράνης που επενδύει τον εγκέφαλο και νωταίο μυελό.
Τα μηνιγγιώματα ευρίσκονται σε στενή συνάφεια με τον εγκέφαλο ή τον νωτιαίο μυελό και τον πιέζουν αλλά δεν τον διηθούν.
Μεγαλώνουν σιωπηλά, με αργό ρυθμό σε διάστημα πολλών ετών, χωρίς να προκαλέσουν συμπτώματα παρα μόνο σε προχωρημένα στάδια.
Όταν αποκτήσουν μεγάλο μέγεθος, μπορεί να αρχίζουν να πιέζουν ζωτικές δομές του εγκεφάλου και να δημιουργούν κίνδυνο πρόκλησης αναπηρίας, εάν δεν αντιμετωπισθούν έγκαιρα και αποτελεσματικά.
Τα μηνιγγιώματα είναι ο συχνότερος τύπος όγκου εγκεφάλου, αλλά ο πάσχων οφείλει να αντιμετωπίσει την διάγνωση με αισιοδοξία, διότι στην πλειονότητα τους, αφαιρούνται με χειρουργική επέμβαση και θεραπεύονται ριζικά.

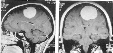
Εικόνες 1α,1β. Παροβελιαίο μηνιγγίωμα της κυρτότητας, δηλ. κοντά στη μεσότητα και κοντά στην επιφάνεια του εγκεφάλου και του κρανίου.
Περιπτώσεις ασθενών
Μία νέα γυναίκα ανέπτυξε ένα μηνιγγίωμα εγκεφάλου, για το οποίο υποβλήθηκε σε επιτυχή ολική αφαίρεση του με χειρουργική επέμβαση. Το ιδιαίτερο και ασυνήθιστο χαρακτηριστικό της περιπτώσεως είναι ότι, σε μικρό χρονικό διάστημα, πριν από την επέμβαση για το μηνιγγίωμα, είχε χρειασθεί να υποβληθεί σε μία άλλη επέμβαση στο κρανίο, δηλαδή σε μηνιγγοπλαστική και κρανιοπλαστική. Αυτό ήταν απαραίτητο διότι σε χρόνο προγενέστερο του μηνιγγιώματος, η ασθενής ανέπτυξε αιφνίδια, αυτόματη ρινόρροια (εκροή διαυγούς εγκεφαλονωτιαίου υγρού από την μύτη), ένα άλλο πρόβλημα μη σχετιζόμενο με το μηνιγγίωμα. Μετά από εξετάσεις, διαπιστώθηκε ότι η ασθενής είχε μία ευάλωτη περιοχή στο έδαφος του κρανίου, η οποία είχε προοδευτικά λεπτυνθεί από την διαχρονική παλμική πίεση του εγκεφαλονωτιαίου υγρού και υποστεί μικρή ρωγμή που επέτρεπε εκροή υγρού από το εσωτερικό του κρανίου προς τον εξωτερικό χώρο, δια της ρινικής χοάνης.
Η επιμένουσα ρινόρροια προοδευτικά, έγινε συχνότερη, γεγονός που σήμαινε ότι – λογω της εκροής υγρού - είχε διανοιγεί επικοινωνία του εσωτερικού του κρανίου με το εξωτερικό περιβάλλον, με κίνδυνο εισόδου μικροβίων και πρόκλησης ενδοκρανιακής λοιμώξεως. Πράγματι, η ασθενής υπέστη επεισόδιο μηνιγγίτιδος, το οποίο αντιμετωπίσθηκε εγκαίρως και η ασθενής συνήλθε πλήρως. Μετά από τα παραπάνω, η ασθενής υποβλήθηκε σε επιτυχή επέμβαση για οριστική και πλήρη σύγκλειση του σημείου εκροής του υγρού, δηλ. σε μηνιγγοπλαστική και αποκατάσταση της κρανιακής βάσεως, χωρίς οποιαδήποτε επιπλοκή. Οπως προαναφέρθηκε, μετά την πρώτη επιτυχή επέμβαση για την αντιμετώπιση της ρινόρροιας, η ασθενής υποβλήθηκε σε δεύτερη επιτυχή επέμβαση για να γίνει ολική αφαίρεση του μηνιγγιώματος.
Και στις δύο επεμβάσεις δεν υπήρξε οποιαδήποτε επιπλοκή, και σε σύντομο διάστημα η ασθενής επέστρεψε στην εργασία της, ως εκπαιδευτικός.
Διπλό Μηνιγγίωμα, δηλαδή ένα βαθύ περίπλοκο μηνιγγίωμα συγχρόνως με ένα απλό επιφανειακό μηνιγγίωμα και υδροκέφαλο, διαγνώσθηκαν στην ίδια ασθενή και αντιμετωπίσθηκαν πλήρως με προηγμένη, ολοκληρωμένη χειρουργική τεχνική από τον Καθηγητή Δαμιανό Σακά.
Τα μηνιγγιώματα είναι σχετικά συχνοί όγκοι που προσβάλλουν συνηθέστερα τον γυναικείο πληθυσμό. Μπορούν να ταξινομηθούν σε δύο κυρίως κατηγορίες με διαφορετικό βαθμό δυσκολίας: α) τα επιφανειακά μηνιγγιώματα που αναπτύσσονται περιφερικά, στην κυρτότητα του κρανίου, σε επαφή με την επιφάνεια του εγκεφάλου και β) τα βαθέα μηνιγγιώματα που αναπτύσσονται είτε στην βάση του κρανίου ή σε βαθεία εντόπιση κοντά στο κέντρο του εγκεφάλου.
Η χειρουργική αφαίρεση των επιφανειακών μηνιγγιωμάτων διαφέρει ανάλογα με την θέση του μηνιγγιώματος στην επιφάνεια του εγκεφάλου, απαιτεί μεγάλη επιμέλεια από την πλευρά του χειρουργού, αλλά είναι συνήθως αρκετά τυποποιημένη και ευκολότερη, ενώ η χειρουργική αφαίρεση των βαθέων μηνιγγιωμάτων διαφοροποιείται σε πολύ μεγάλο βαθμό, ανάλογα με την κάθε περίπτωση, παρουσιάζει συχνά μεγάλες δυσκολίες και απαιτεί εξελιγμένη χειρουργική τεχνογνωσία και μεγάλη εμπειρία. Η ασθενής υποβλήθηκε σε τρείς επεμβάσεις. Κατά την πρώτη, αφαιρέθηκε το επιφανειακό και ευκολότερο μηνιγγίωμα ενώ κατά την δεύτερη (δύο μήνες μετά), αφαιρέθηκε το δυσκολότερο, βαθύ, περίπλοκο μηνιγγίωμα μέσω ειδικής τεχνικής που ονομάζεται υπερπαρεγκεφαλιδική-υποσκηνιδιακή προσπέλαση, και επιτρέπει στον χειρουργό να προσεγγίσει όγκους που ευρίσκονται σε πολύ βαθεία θέση μέσα στον εγκέφαλο. Οι δύο επεμβάσεις απαιτήθηκαν διότι τα μηνιγγιώματα ευρίσκονταν σε δύο τελείως διαφορετικές θέσεις μέσα στον εγκέφαλο και η αντιμετώπιση τους μέσω μίας επέμβασης ήταν ανέφικτη. Σύντομα, μέσω μίας άλλης επέμβασης μικρής κλιμακος και διάρκειας, αντιμετωπίσθηκε ο υδροκέφαλος.
Η περίπτωση αυτή είναι πολύ ενδιαφέρουσα, διότι η ανεύρεση συγχρόνως δύο διαφορετικών μηνιγγιωμάτων, σε δύο τελείως διαφορετικές θέσεις στον εγκέφαλο, που πρέπει να αντιμετωπισθούν σε μικρό διάστημα είναι σπάνια. Η έκβαση της ασθενούς που υποβλήθηκε σε σειρά τριών επεμβάσεων, σε μικρό συνολικά χρονικό διάστημα, κρίνεται πολύ επιτυχημένη και ικανοποιητική.
Τεχνογνωσία, Υποδομές και Εξειδίκευση στην χειρουργική των μηνιγγιωμάτων στο Τμήμα μας
Οι βάσεις για την σύγχρονη επιτυχή χειρουργική θεραπεία της πλειονότητας των μηνιγγιωμάτων ετέθηκαν κυρίως την περίοδο 1970-1980.
Όμως η αλματώδης εξέλιξη των ψηφιακών τεχνολογιών, τις επόμενες δεκαετίες, επέφερε μεγάλες βελτιώσεις και σημαντική αναβάθμιση της χειρουργικής τεχνικής.
Οι κύριες τεχνολογικές αναβαθμίσεις που συνθέτουν την σύγχρονη χειρουργική τεχνογνωσία είναι οι εξής:
- η χειρουργική σε μεγέθυνση με χρήση νευροχειρουργικού μικροσκοπίου,
- η τρισδιάστατη νευροπλοήγηση, και
- ο διεγχειρητικός νευροφυσιολογικός έλεγχος.
Οι μέθοδοι αυτές περιγράφονται παρακάτω:α
α. Χειρουργική σε μεγέθυνση με ισχυρά Νευροχειρουργικά Μικροσκόπια
Στην σύγχρονη μικρονευροχειρουργική πρακτική, η επέμβαση πραγματοποιείται με χρήση ενός νευροχειρουργικου μικροσκοπίου, που επιτρέπει στον χειρουργό να βλέπει το χειρουργικό πεδίο σε πολλαπλή μεγέθυνση και πολύ καλά φωτισμένο από ισχυρό σύστημα φωτισμού που διαθέτει το μικροσκόπιο.
Αυτό απαιτήθηκε διότι η φυσική όραση του χειρουργού και ο φωτισμός που παρέχει ο προβολέας της χειρουργικής αίθουσας, δεν επαρκούν για προσφέρουν λεπτομερή εικόνα του εγκεφάλου ιδιαίτερα σε στενές σηραγγώδεις περιοχές του.
Επιπλέον, το μικροσκόπιο επιτρέπει την λήψη βίντεο και φωτογραφιών και την συνεχή παρακολούθηση της επέμβασης σε οθόνη, μέσα στην αίθουσα του χειρουργείου.

Εικόνα 2α. Νευροχειρουργικό Μικροσκόπιο. Διακρίνεται ο μεγάλος αρθρωτός βραχίονας που επιτρέπει μεγάλη ευελιξία και ελευθερία χειρισμών του οπτικού συστήματος απο τον νευροχειρουργό σε σχέση με το πεδίο της επέμβασης.

Εικόνα 2β. Νευροχειρουργικό Μικροσκόπιο. Διακρίνεται η μεγάλη οθόνη στην οποία προβάλλεται σε μεγέθυνση το χειρουργικό πεδίο σε όλη την διάρκεια της επέμβασης.
β. Χειρουργικός Σχεδιασμός με Νευροπλοήγηση
Η Νευροπλοήγηση περιλαμβάνει την στερέωση ενός εντοπιστή, δηλ. ενός εργαλείου που αποτελείται από τέσσερεις βραχίονες που φέρουν ανακλαστικά σφαιρίδια, σε σταθερή θέση, σε σχέση με το κρανίο του ασθενούς.
Αυτό διαμορφώνει ένα σταθερό πλαίσιο αναφοράς και κάθε σημείο του εγκεφάλου αποκτά συντεταγμένες σε σχέση με τους βραχίονες του εντοπιστή.
Στη συνέχεια, ένας εξοπλισμός που περιλαμβάνει δύο μηχανές εκπομπής και καταγραφής ανακλώμενων υπέρυθρων ακτίνων ανιχνεύει την θέση των ανακλαστικών σφαιριδίων του εντοπιστή στη χειρουργική αίθουσα και έτσι, - μέσω του εντοπιστή - εντοπίζει την θέση κάθε σημείου του εγκεφάλου μέσα στο χώρο της χειρουργικής αίθουσας.
Επιπλέον το σύστημα περιλαμβάνει ένα ισχυρό ηλεκτρονικό υπολογιστή στον οποίο καταχωρείται η μαγνητική τομογραφία με τις εικόνες του εγκεφάλου του ασθενούς.
Στην μαγνητική τομογραφία, κάθε σημείο του εγκεφάλου έχει αριθμητικές συντεταγμένες.
Ο υπολογιστής συνδυάζει τις συντεταγμένες που έχει για κάθε σημείο του εγκεφάλου, στο χώρο του χειρουργείου, με τις συντεταγμένες κάθε σημείου του εγκεφάλου στην μαγνητική τομογραφία.
Έτσι, είναι εφικτό, κατά την διάρκεια της επέμβασης, να προβάλλεται στην οθόνη του υπολογιστή η εικόνα του εγκεφάλου του ασθενούς, και η θέση και το σχήμα του μηνιγγιώματος.
Καθώς ο χειρουργός προσεγγίζει το μηνιγγίωμα με ένα χειρουργικό εργαλείο, ο υπολογιστής ανιχνεύει την θέση του εργαλείου μέσα στην χειρουργική αίθουσα και το αναπαριστά και προβάλλει στη αντίστοιχη θέση μέσα στην εικόνα του μηνιγγιώματος στην μαγνητική τομογραφία.
Ο χειρουργός έχει άμεση εικόνα του χειρουργικού πεδίου μέσω του μικροσκοπίου.
Η νευροπλοήγηση όμως τον βοηθά να γνωρίζει που ακριβώς ευρίσκεται, σε σχέση με άλλα σημεία του όγκου του εγκεφάλου, τα οποία δεν είναι ορατά.
Θα μπορούσε να παρομοιασθεί με την διαδικασία προσέγγισης ενός αεροπλάνου προς τον διάδρομο προσγείωσης μέσα από νέφωση, χωρίς άμεση οπτική επαφή, ή με το σύστημα GPS που δείχνει στον χάρτη σε μία οθόνη την θέση ενός αυτοκίνητου, οπουδήποτε στην τεράστια επιφάνεια της γης, με ακρίβεια ενός η δύο μέτρων,.
Τηρουμένων των αναλογιών, η νευροπλοήγηση έχει στον εγκέφαλο, ακρίβεια 1-2 χιλιοστών και επιτρέπει να γνωρίζουμε τι ποσοστό όγκου έχουμε αφαιρέσει, πόσο κοντά βρισκόμαστε σε ζωτικές περιοχές και άλλες κρίσιμες πληροφορίες.

Εικόνα 3α. Φωτογραφία-διάγραμμα που απεικονίζει την βασική αρχή της νευροπλοήγησης. Ο κατακόρυφος στειλεός στηρίζει τον επιμήκη οριζόντιο βραχίονα που φέρει μία διπλή πηγή εκπομπής και καταγραφής υπέρυθρης ακτινοβολίας, η οποία ανιχνεύει τη θέση κάθε χειρουργικού εργαλείου στο χώρο του χειρουργείου. Ο χειρουργός βλέπει στην οθόνη την απεικόνιση του όγκου και που ευρίσκεται κάθε εργαλείο του μέσα στον εγκέφαλο.

4α

4β
Εικόνες 4α,4β. Μηνιγγίωμα σε βαθεία εντόπιση (4α) και άλλο σε παροβελιαία εντόπιση (4β) με ενδεικτικές τροχές κατεύθυνσης της καλύτερης δυνατής προσπέλασης όπως προκύπτουν από το σύστημα νευροπλοήγησης (πράσινες διακεκομμένες γραμμές)

Εικόνα 5α. Σύγχρονο σύστημα διεγχειρητικής νευροπλοήγησης. Διακρίνεται ο επιμήκης οριζόντιος βραχίονας που φέρει την διπλή μηχανή εκπομπής και καταγραφής υπέρυθρης ακτινοβολίας που ανιχνεύει τη θέση κάθε χειρουργικού εργαλείου καθώς και η οθόνη στην οποία ο χειρουργός βλέπει απεικόνιση του όγκου και που ευρίσκεται κάθε εργαλείο μέσα στον εγκέφαλο.
Εικόνα 5β. Εργαλείο νευροχειρουργικής επέμβασης που φέρει επάνω του εντοπιστές νευροπλοήγησης. Το εργαλείο αυτό είναι συγχρόνως και χειριστήριο που επιτρέπει στον χειρουργό να χειρίζεται όλο το σύστημα παραμένοντας ενδεδυμένος με την αποστειρωμένη ενδυμασία του χειρουργείου.

6α.

6β.
Εικόνες 6α,6β. Οι δύο εικόνες αποτυπώνουν τον συνδυασμό παραδοσιακής νευροχειρουργικής με την σύγχρονη μετάδοση δεδομένων απο τον εγκέφαλο του ασθενούς σε υπολογιστές και στη συνέχεια επεξεργασία αυτών των δεδομένων και παραγωγή εικόνων που αξιοποιεί ο νευροχειρουργός στην χειρουργική πρακτική.
γ. Διεγχειρητικός Νευροφυσιολογικός Ελεγχος
Σχεδόν όλες οι νευροχειρουργικές παρεμβάσεις στον εγκέφαλο, τον νωτιαίο μυελό και την σπονδυλική στήλη, αντιπροσωπεύουν ένα δυνητικό κίνδυνο για το νευρικό σύστημα.
Ο διεγχειρητικός νευροφυσιολογικός έλεγχος ή διεγχειρητική νευροπαρακολούθηση περιλαμβάνει μεθόδους συνεχούς μέτρησης της ηλεκτρικής δραστηριότητας του εγκεφάλου και νωτιαίου μυελού με ηλεκτροεγκεφαλογράφημα, ηλεκτρομυογράφημα και προκλητά ηλεκτρικά δυναμικά, ώστε να εκτιμάται η λειτουργική ακεραιότητα τους, κατα την διάρκεια της επέμβασης.
Η παρακολούθηση αυτή – όσο διαρκεί η επέμβαση - αναγνωρίζει ηλεκτροφυσιολογικές μεταβολές που μπορεί να σημαίνουν ότι επίκειται νευρολογική βλάβη, εξαιτίας χειρουργικών χειρισμών, αναισθησιολογικών ρυθμίσεων ή μεταβολικών παραμέτρων.
Ο στόχος του διεγχειρητικού ελέγχου είναι να παρέχει λειτουργική καθοδήγηση σε χειρουργό και αναισθησιολόγο και να ειδοποιεί για επαπειλούμενη βλάβη, πριν αυτή συμβεί.
Στην πραγματικότητα προσφέρει μία “περίοδο χάριτος” μέσα στην οποία ο χειρουργός έχει την ευκαιρία να διαφοροποιήσει τους χειρισμούς του και να αποτρέψει μία επαπειλούμενη βλάβη πριν γίνει ανεπανόρθωτη.
Οι κύριες τεχνικές περιλαμβάνουν σωματοαισθητικά κινητικά δυναμικά, κινητικά προκλητά δυναμικά, ηλεκτρομυογράφημα, ακουστικά προκλητα δυναμικά και οπτικά προκλητά δυναμικά και εφαρμόζονται ως εξής:
α) τα σωματοαισθητικά κινητικά δυναμικά (somatosensory evoked potentials - SSEP) επιτρέπουν να ελέγχουμε την λειτουργικότητα της νευρικής οδού από την περιφέρεια προς τον εγκέφαλο μέσω του νωτιαίου μυελού.
Εφαρμόζουμε ηλεκτρικά ερεθίσματα σε περιφερικό σημείο (π.χ. στο μέσο νεύρο στον καρπό, ή το κνημιαίο νεύρο στο πόδι), που διαδίδονται μέσω του νωτιαίου μυελού, και τα ανιχνεύουμε και καταγράφουμε σε κεντρικότερο σημείο.
β) στα κινητικά προκλητά δυναμικά (motor evoked potentials - MEP) εφαρμόζουμε εξωκρανιακά ηλεκτρικά ερεθίσματα στην κινητική περιοχή του εγκεφάλου, αυτά διατρέχουν τον νωτιαίο μυελό και φθάνουν στους μύες, όπου λαμβάνουμε δυναμικά, περιφερικά από τα άκρα.
γ) με το ηλεκτρομυογράφημα ελέγχουμε εγκεφαλικά νεύρα εφαρμόζοντας ηλεκτρικό ερεθισμό στο νεύρο (στην περιοχή της επέμβασης) και καταγράφοντας τα κινητικά δυναμικά που λαμβάνουμε περιφερικά από τους μύες που νευρώνονται από το νεύρο.
δ) τα ακουστικά προκλητα δυναμικά (auditory evoked potentials – ΑΕΡ) είναι χρήσιμα όταν χειρουργούμε κοντά στην περιοχή του νεύρου της ακοής και βοηθούν να αποτρέψουμε βλάβη του νεύρου ή βλάβη του πυρήνα του στο εγκεφαλικό στέλεχος.
ε) τα οπτικά προκλητά δυναμικά (visual evoked potentials – VΕΡ) είναι χρήσιμα όταν χειρουργούμε στην περιοχή του οπτικού νεύρου και βοηθούν να αποτρέψουμε βλάβη του οπτικού νεύρου.
Γενικώς, συγκρίνουμε τα δυναμικά που λαμβάνουμε, ενώ εξελίσσεται η επέμβαση, με δυναμικά που λάβαμε αμέσως πριν αρχίσει η επέμβαση, τα οποία αντιπροσωπεύουν την φυσιολογική κατάσταση.
Αν τα δυναμικά είναι φυσιολογικά, διαπιστώνουμε την λειτουργική ακεραιότητα εγκεφάλου και νωτιαίου μυελού.
Οι μεταβολές που αξιολογούνται περιλαμβάνουν τις παρακάτω:
α) μείωση στην ένταση,
β) καθυστέρηση στην μετάδοση του δυναμικού ή
γ) αλλαγή στην κυματομορφή του υποδηλώνει στο χειρουργό ότι οι χειρουργικοί χειρισμοί έχουν φθάσει στο όριο ανοχής ή ασφαλείας του νευρικού συστήματος και πρέπει να τροποποιηθούν ώστε να μην συμβεί κάποια βλάβη.

Εικόνα 7α. Συσκευή με τον εξοπλισμό διεγχειρητικής νευροπαρακολούθησης.
Εικόνες 7β και 7γ. Γραφικές παραστάσεις ηλεκτρικών δυναμικών όπως λαμβάνονται από το σύστημα διεγχειρητικής νευροπαρακολούθησης.
Συστηματική Θεραπευτική προσέγγιση
Ο κύριος στόχος στην αντιμετώπιση ενός μηνιγγιωμάτος είναι η πλήρης και ασφαλής αφαίρεση του, με τον λιγότερο τραυματικό τρόπο και την μικρότερη δυνατή επιπλοκή και επιβάρυνση του ασθενούς.
Προκειμένου να επιτευχθεί αυτό, ακολουθείται ένα συστηματικό συγκεκριμένο πρωτόκολλο που περιλαμβάνει τα παρακάτω στάδια και διαδικασίες:
α). Αξιολόγηση των ανατομικών και μορφολογικών χαρακτηριστικών.
Πριν από οτιδήποτε άλλο, πρέπει να γίνει μελέτη του σχήματος και των ορίων του όγκου και να αξιολογηθούν σωστά τα παρακάτω χαρακτηριστικά του μηνιγγιώματος:
1. η θέση και οι σχέσεις του με γειτονικές δομές,
2. το περίγραμμα, δηλαδή εάν είναι ομαλό ή έχει προεξοχές που διεισδύουν στον εγκέφαλο.
3. η σύσταση, εάν είναι ομοιογενής, ή έχει κυστικά στοιχεία ή μεγάλη αγγειοβρίθεια.
4. το μέγεθος και η ταχύτητα ανάπτυξης του
Συχνά, για να ολοκληρωθεί η προεγχειρητική αξιολόγηση του όγκου, απαιτούνται πρόσθετες απεικονιστικές εξετάσεις όπως π.χ. μαγνητική αγγειογραφία με έμφαση στην φλεβική φάση (φλεβογραφία).
Με βάση την μελέτη των χαρακτηριστικών του όγκου στις εξετάσεις θα επιλεγεί η ασφαλέστερη οδός, με την οποία ο χειρουργός οφείλει να προσεγγίσει το μηνιγγίωμα, δηλ. η βραχύτερη διαδρομή μέσα στον εγκέφαλο που προσφέρει την ευρύτερη αποκάλυψη του όγκου, χωρίς να θέτει σε κίνδυνο άλλες δομές.
Ιδιαίτερα σημαντική είναι η αποκάλυψη του σημείου έκφυσης του όγκου (της «ρίζας» του), δηλ. της περιοχής από την οποία εξορμάται, αιματώνεται και αναπτύσσεται.
Εάν αυτό επιτευχθεί στο αρχικό στάδιο και η έκφυση του όγκου καυτηριασθεί, η τροφοδοσία του όγκου με αίμα θα μειωθεί δραστικά, και η συνέχεια της επέμβασης θα είναι ευκολότερη και ασφαλέστερη.
β). Ολοκληρωμένη μελέτη της γενικής κατάστασης του ασθενούς
Είναι απαραίτητο να εξακριβωθεί η γενικότερη υγεία του ασθενούς. Ειδικότερα πρέπει να γνωρίζουμε αν έχει ιστορικό καρδιοπάθειας, πνευμονοπάθειας, διαβήτη, ρευματοπάθειας, λήψης αντιπηκτικών φαρμάκων, ή φαρμάκων που επηρεάζουν το ανοσοποιητικό σύστημα, κ.λ.π.
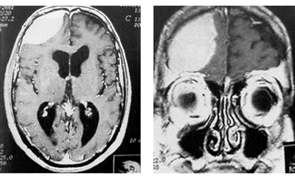
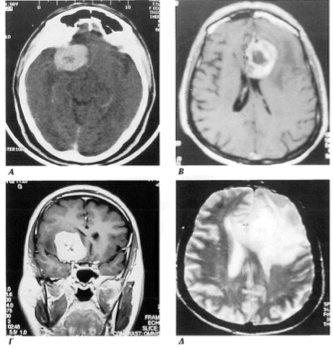
Εικόνα 8. Μηνιγγίωμα πτέρυγος σφηνοειδούς οστού στην αξονική τομογραφία (8Α), στην μαγνητική τομογραφία σε εγκάρσια τομή (8Β), σε στεφανιαία τομή (8Γ) και απεικόνιση του βαθμού οιδήματος του εγκεφάλου (8Δ). Διακρίνεται το ομαλό περίγραμμα του όγκου που απεικονίζεται ως «στρογγυλόμορφη» λευκή περιοχή με εστία κυστικής εκφύλισης στο κέντρο (μαύρη κεντρική περιοχή)
γ). Πλήρης προεγχειρητική προετοιμασία
Αυτή περιλαμβάνει την χορήγηση φαρμάκων με τα οποία στοχεύουμε να γίνει η επέμβαση με βελτιωμένες συνθήκες και να μειώσουμε α) τον κίνδυνο επιληπτικών κρίσεων, β) το οίδημα του εγκεφάλου και γ) το άγχος και το στρες, που αναπόφευκτα βιώνουν πολλοί ασθενείς από την στιγμή που μαθαίνουν ότι πρόκειται να χειρουργηθούν στον εγκέφαλο.
δ). Χειρουργική επέμβαση με ελάχιστα τραυματική τεχνική.
Όπως και σε άλλες επεμβάσεις στην ογκολογία, ο κύριος στόχος είναι η ριζική αφαίρεση του όγκου με το ελάχιστο δυνατό τραύμα και την μικρότερη δυνατή επιπλοκή.
Από την ευόδωση και επίτευξη αυτού του στόχου, κρίνεται η εμπειρία και η αποτελεσματικότητα της χειρουργικής ομάδας.
Με τον όρο «ελάχιστα τραυματική» ή «ελάχιστα επεμβατική» χειρουργική, εννοούμε όχι μόνο την πραγματοποίηση της επέμβασης μέσω πολύ μικρής τομής, στο κρανίο αλλά μία σειρά χειρουργικών και αναισθησιολογικών χειρισμών (π.χ. ποιά οφείλει να είναι η αρτηριακή πίεση άρδευσης του εγκεφάλου σε ένα ηλικιωμένο ασθενή) που στοχεύουν στην μικρότερη δυνατή επιβάρυνση της εγκεφαλικής λειτουργίας. Η προσέγγιση αυτή είναι γνωστή με τον όρο «εγκεφαλική προστασία» ή διεθνώς ως «Cerebral Protection».
Η μεθοδολογία που περιγράφεται παραπάνω έχει εφαρμοσθεί, επί σειρά ετών με επιτυχία και αποτελεσματικότητα σε μεγάλο αριθμό χειρουργικών επεμβάσεων που υπερβαίνει τις 500.
Το Τμήμα, επιπρόσθετα των χειρουργικών επεμβάσεων σε εκατοντάδες ασθενείς με απαιτητικά μηνιγγιώματα, συμμετέχει σε έρευνες για ανεύρεση συμπληρωματικών θεραπειών σε συνεργασία με μεγάλα κέντρα του εξωτερικού.
Ποιά είναι συμπτώματα των μηνιγγιωμάτων;
Τα συμπτώματα εξαρτώνται από την θέση του όγκου μέσα στο κρανίο, εκδηλώνονται συνήθως προοδευτικά, και περιλαμβάνουν κεφαλαλγία, αίσθημα εύκολης κόπωσης σε ένα χέρι ή πόδι, δυσχέρεια μνήμης, μείωση της όρασης, ή ελάττωση της όσφρησης.
Σε μικρό ποσοστό πασχόντων, το μηνιγγίωμα μπορεί να εκδηλωθεί αιφνίδια, με την μορφή επιληπτικής κρίσεως.
Εικόνα 9α,9β. Μηνιγγίωμα κυρτότητας δεξιού μετωπιαίου λοβού. Διακρίνεται η ευρεία πρόσφυση στη μήνιγγα της κυρτότητας (σε εγκάρσια και στεφανιαία τομή)
Υπάρχουν προδιαθεσικοί παράγοντες των μηνιγγιωμάτων;
Η αιτία δημιουργίας των μηνιγγιωμάτων παραμένει άγνωστη.
Ως πιθανοί προδιαθεσικοί παράγοντες έχουν αναφερθεί τα παρακάτω:
- Ορμονικοί παράγοντες. Το γεγονός ότι τα μηνιγγιώματα είναι σαφώς συχνότερα στις γυναίκες έχει οδηγήσει στην υπόθεση ότι οι γυναικείες ορμόνες ενδέχεται να επηρεάζουν την ανάπτυξη τους.
- Παχυσαρκία. Η παχυσαρκία έχει συνδυασθεί με αυξημένο κίνδυνο νεοπλασιών και έχει διαπιστωθεί αυξημένο ποσοστό μηνιγγιωμάτων μεταξύ παχύσαρκων ατόμων.
- Κληρονομικοί παράγοντες. Η νευροινωμάτωση 2 αυξάνει τον κίνδυνο εκδήλωσης μηνιγγιώματος.
- Ακτινοβολία. Έχει αναφερθεί ότι αν εκτεθεί κάποιος σε ακτινοβολία, ιδιαίτερα κατά την παιδική ηλικία έχει αυξημένο κίνδυνο ανάπτυξης μηνιγγιώματος. Επίσης, η ακτινοθεραπεία στο κεφάλι, για οποιοδήποτε λόγο, αυξάνει τον κίνδυνο εκδήλωσης μηνιγγιώματος.
- Κινητή τηλεφωνία. Μέχρι στιγμής, δεν έχει δημοσιευθεί ισχυρή απόδειξη που να συνδέει την παρατεταμένη χρήση κινητής τηλεφωνίας με ανάπτυξη μηνιγγιωμάτων.
Τέλος, ένα ιδιαίτερο, ευτυχώς σπάνιο πρόβλημα είναι η υποτροπιάζουσα μηνιγγιωμάτωση, μία κατάσταση που χαρακτηρίζεται απο ανάπτυξη περισσότερων του ενός μηνιγγιωμάτων σε ένα ασθενή και παρουσιάζει μία τάση υποτροπής παρά την ολική αφαίρεση του όγκου.
Πώς γίνεται η διάγνωση των μηνιγγιωμάτων;
Η κλινική εξέταση από τον ιατρό θα αναδείξει νευρολογικά προβλήματα που μπορεί να έχει προκαλέσει ο όγκος.
Η διάγνωση όμως τίθεται με την Μαγνητική Τομογραφία, η οποία δείχνει με ακρίβεια την θέση, το μέγεθος και τις σχέσεις του μηνιγγιώματος με άλλες γειτονικές δομές.
Εάν αποφασισθεί ότι η χειρουργική επέμβαση δεν είναι απαραίτητη, θα μπορέσουμε να παρακολουθούμε την εξέλιξη του όγκου με μελλοντικές επαναληπτικές τομογραφίες.
Πως εκτιμάται ο βαθμός επιθετικότητας των μηνιγγιωμάτων?
Τα μηνιγγιώματα ταξινομούνται - ανάλογα με το χαρακτηριστικά τους, και τον βαθμό επιθετικότητας τους – σε τρείς κατηγορίες ως εξης:
1. Μηνιγγιώματα Βαθμού I, ο συχνότερος τύπος, είναι όγκοι χαμηλής διαβάθμισης που εξελίσσονται με αργό ρυθμό.
2. Μηνιγγιώματα Βαθμού II ονομάζονται άτυπα μηνιγγιώματα και είναι όγκοι μέσης διαβάθμισης. Αυτό σημαίνει ότι ακόμη και μετά πλήρη αφαίρεση, υπάρχει ενδεχόμενο υποτροπής.
3. Μηνιγγιώματα Βαθμού III ονομάζονται αναπλαστικά, εξελίσσονται γρήγορα και είναι κακοήθη.
Τα μηνιγγιώματα είναι συχνότερα στις γυναίκες, αλλά οι βαθμοί ΙΙ και ΙΙΙ εμφανίζονται συχνότερα στους άνδρες, συνηθέστερα στην ηλικία 55-65 και η συχνότητα εμφάνισης τους τείνει να αυξάνει με την ηλικία.
Τα μηνιγγιώματα βαθμού ΙΙ μπορούν να διεισδύσουν στους γειτονικούς ιστούς και στον οστούν του κρανίου. Τα μηνιγγιώματα βαθμού ΙΙΙ είναι πιο πιθανό να διεισδύσουν στον εγκέφαλο ή μπορεί να αναπτύξουν, μεταστάσεις και να επεκταθούν σε άλλα όργανα του σώματος.

Εικόνες 10α10β. Μηνιγγίωμα βάσεως κρανίου που εκφύεται (γεννάται) από την μήνιγγα του δρεπάνου και του λιθοειδούς οστού (σε εγκάρσια και στεφανιαία τομή). Διακρίνεται η σχετικά ανώμαλη παρυφή στην περίμετρο του και η έντονη απεικόνιση του μετά την χορήγηση παραμαγνητικής ουσίας (απεικονίζεται ως λευκή περιοχή).
Χειρουργική Θεραπεία των μηνιγγιωμάτων
Η θεραπεία των μηνιγγιωμάτων είναι χειρουργική και στοχεύει στην ασφαλή ριζική αφαίρεση του όγκου. Αυτό επιτυγχάνεται στην μεγάλη πλειονότητα των πασχόντων, με την τεχνική της κρανιοτομίας, δηλ. δημιουργίας ενός μικρού ανοίγματος στο κρανίο μέσω του οποίου, ο χειρουργός αποκτά πρόσβαση στο μηνιγγίωμα και το αφαιρεί. Σε μικρό αριθμό περιπτώσεων, η αφαίρεση του μηνιγγιώματος γίνεται ενδοσκοπικά. Μετά την αφαίρεση του όγκου, το κρανιακό άνοιγμα επουλώνεται. Η δερματική τομή, σε πολλές περιπτώσεις, γίνεται μέσα στην περιοχή των μαλλιών (τα οποία ξυρίζονται), ώστε όταν μεγαλώσουν, ξανά τα μαλλιά, η τομή δεν φαίνεται.
Η απόφαση για χειρουργική αντιμετώπιση γίνεται με βάση χαρακτηριστικά του μηνιγγιώματος, όπως είναι τα εξής: α) το μέγεθος και η θέση του μέσα στο κρανίο, β) η ταχύτητα ανάπτυξης του και γ) η ηλικία και η συνολική κατάσταση της υγείας του πάσχοντος.
Σε πολλές περιπτώσεις, δεν χρειάζεται να δοθεί άμεση θεραπεία.
Σε ένα άτομο της τρίτης ηλικίας, όταν το μηνιγγίωμα είναι μικρό, μπορεί να επιλεγεί η μέθοδος της τακτικής παρακολούθησης ή “αναμονής και επιτήρησης”.
Οταν όμως το μηνιγγίωμα έχει αξιοσημείωτο μέγεθος, ή ασκεί πίεση σε γειτονικές δομές, ή έχει αυξητική τάση, τότε η χειρουργική αφαίρεση του επιβάλλεται.
Σε κάποιες περιπτώσεις, δεν είναι εφικτή ή ολική αφαίρεση του μηνιγγιώματος, διότι αυτό περικλείει μέσα του, ή συμφύεται στενά με κρίσιμες και ευαίσθητες δομές.
Σε τέτοιες ειδικές καταστάσεις, είναι σαφώς προτιμότερο να αφαιρέσουμε ριζικά την πλειονότητα του όγκου και να αφήσουμε πίσω το μικρό υπόλειμμα, που είναι προσκολλημένο σε ευαίσθητες δομές.
Αυτό μπορεί να αντιμετωπισθεί, σε δεύτερο χρόνο – εάν χρειάζεται - με στερεοτακτική ακτινοθεραπεία.
Σε γενικές γραμμές, αυτό που καθορίζει το βαθμό χειρουργικής δυσκολίας είναι η εντόπιση, δηλ. η θέση στην οποία αναπτύσσεται το μηνιγγίωμα μέσα στο κρανίο. Καθε εντόπιση έχει διαφορετικό βαθμό χειρουργικής δυσκολίας και θέτει διαφορετικά τεχνικά χειρουργικά προβλήματα. Με κριτήριο την εντόπιση, τα μηνιγγιώματα ταξινομούνται σε δύο μεγάλες κατηγορίες:
- μηνιγγιώματα κυρτότητας ή “θόλου” κρανίου που αναπτύσσονται στην κυρτότητα ή θόλο του κρανίου και πιέζουν τον εγκέφαλο προς τα μέσα. Τα συμπτώματα ποικίλλουν ανάλογα με την λειτουργική σημασία της περιοχής του εγκεφάλου που δέχεται την πίεση από το μηνιγγίωμα. Περιλαμβάνουν αδυναμία ενός μέλους, κεφαλαλγία, αίσθημα βάρους στο κεφάλι και επιληπτικές κρίσεις. H χειρουργική αφαίρεση των μηνιγγιωμάτων του θόλου είναι ευκολότερη και πλήρης, με εξαίρεση μικρό ποσοστό ειδικών περιπτώσεων.
- μηνιγγιώματα βάσεως ή “εδάφους” κρανίου που αναπτύσσονται στη βάση, δηλ. στο “έδαφος” της κρανιακής κοιλότητας. Η αφαίρεση τους σε γενικές γραμμές είναι δυσκολότερη καθώς την βάση του κρανίου διαπερνούν σημαντικά αγγεία και νεύρα, όπως π.χ. η καρωτίδα ή το οπτικό νεύρο, και το μηνιγγίωμα πρέπει να αφαιρεθεί χωρίς να πληγούν αυτές οι δομές.
Μία ιδιαίτερη κατηγορία μηνιγγιωμάτων του θόλου είναι αυτά που αναπτύσσονται γύρω από τον οβελιαίο κόλπο μία μεγάλη φλέβα στο άνω τοίχωμα του κρανίου
Η αφαίρεση του μηνιγγιώματος συχνά απαιτεί διατομή και αφαίρεση τμήματος του κόλπου, μαζί με το μηνιγγίωμα, εάν αυτός έχει θρομβωθεί.
Όσον αφορά τα μηνιγγιώματα της βάσεως, δύσκολη κατηγορία είναι αυτά που αναπτύσσονται στην έσω πτέρυγα του σφηνοειδούς οστού, κοντά στην υπόφυση, λίγο πίσω απο τους οφθαλμούς, τα οποία μπορεί να περικλείσουν το οπτικό νευρο ή την καρωτίδα και απαιτούν χειρουργό με μεγάλη εμπειρία.
Επίσης, δύσκολα μηνιγγιώματα βάσεως είναι αυτά που αναπτύσσονται κοντά στο μείζον τρήμα, το άνοιγμα του κρανίου, στο ύψος του οποίου, ο εγκέφαλος μεταπίπτει σε νωτιαίο μυελό και εξέρχεται του κρανίου.
Σε αυτή την περιοχή διέρχονται πολλά αγγεία και νεύρα και η διαχείριση του όγκου μπορεί να απαιτήσει συνεργασία πολλών ειδικοτήτων.

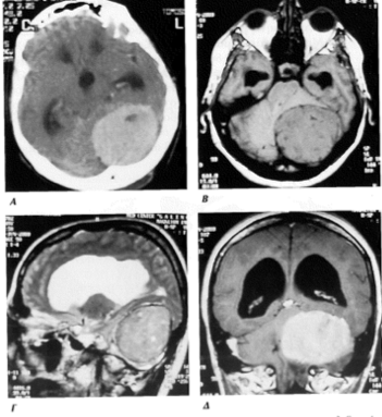
Εικόνες 11. Μηνιγγίωμα κυρτότητας αριστερού παρεγκεφαλιδικού ημισφαιρίου. Είναι ιδιαίτερα εμφανής η πίεση και παρεκτόπιση του στελέχους (11Α,Β.Γ,Δ).
Παθολογοανατομική εξέταση - Μετεγχειρητική φροντίδα
Η μετεγχειρητική φροντίδα περιλαμβάνει τον έλεγχο της επούλωσης του τραύματος, την διακοπή των διεγχειρητικών φαρμάκων και των αντιεπιληπτικών φαρμάκων.
Είναι απολύτως απαραίτητο να μελετηθεί επιμελώς το συμπέρασμα που προκύπτει από την παθολογοανατομική εξέταση η οποία είναι πολύ σημαντική, και καθορίζει εάν θα πρέπει να προσφέρουμε συμπληρωματική ακτινοθεραπεία.
Η παθολογοανατομική εξέταση γίνεται σε δείγμα του όγκου, μετά την χειρουργική επέμβαση και θα μας δείξει τον βαθμό του μηνιγγιώματος, δηλ. αν είναι Βαθμού Ι ή ΙΙ (άτυπο) ή ΙΙΙ (αναπλαστικό) και ακόμη εάν ο όγκος ανήκει σε κάποια υποκατηγορία του Βαθμού ΙΙ (χοριοειδές ή καθαροκυτταρικό) ή του Βαθμού ΙΙΙ (θηλώδες ή ραβδοειδές).
Επίσης, ο γενετικός έλεγχος μπορεί να μας δώσει πρόσθετες πληροφορίες για την ακριβέστερη ταξινόμηση των μηνιγγιωμάτων.
Η αξιολόγηση είναι κρίσιμη προκειμένου να γίνει πρόβλεψη, να καταρτισθεί ένα πρόγραμμα περαιτέρω αντιμετώπισης και να αποφευχθεί μία υποτροπή του μηνιγγιώματος.
Αυτό έχει ιδιαίτερη σημασία στα Μηνιγγιώματα Βαθμού II όπου υπάρχει ενδεχόμενο υποτροπής και στα Μηνιγγιώματα Βαθμού III που έχουν κακοήθη διάσταση.
Συμπληρωματικές θεραπείες
Σε ένα σχετικά περιορισμένο αριθμό πασχόντων, κατά την χειρουργική επέμβαση μπορεί να είναι εφικτό να αφαιρεθεί η μεγάλη μάζα του όγκου, αλλά να πρέπει να παραμείνει ένα μικρό υπολειμματικό τεμάχιο, το οποίο ήταν προσκολλημένο σε ευαίσθητες δομές, και δεν ήταν ασφαλές να αφαιρεθεί.
Σε μία τέτοια περίπτωση, έχουμε τις παρακάτω επιλογές.
- Εάν η παθολογοανατομική μελέτη δείξει ότι το μηνιγγίωμα ήταν Βαθμού Ι (δηλ. μικρής αυξητικής δύναμης), μπορούμε απλώς να παρακολουθούμε περιοδικά το μικρό υπόλειμμα, διότι η στατιστική πιθανότητα να μεγαλώσει είναι πολύ μικρή.
- Εάν η παθολογοανατομική μελέτη δείξει ότι ο όγκος ήταν Βαθμού ΙΙ, ή Βαθμού ΙΙΙ (άτυπο ή αναπλαστικό μηνιγγίωμα), πρέπει να γίνει συμπληρωματική ακτινοθεραπεία για να αποτραπεί υποτροπή του όγκου.
Η επιλογή του πλέον κατάλληλου τύπου ακτινοθεραπείας και της γενικότερης αντιμετώπισης αποφασίζεται συνεκτιμώντας την ηλικία του ασθενούς, το υπόλειμμα του όγκου μετά την χειρουργική επέμβαση, την εντόπιση του και τον βαθμό επιθετικότητας του μηνιγγιώματος.
Ακτινοθεραπεία
Η ακτινοθεραπεία ενδέχεται να χρειάζεται εάν το μηνιγγίωμα ή ο ασθενής εντάσσονται σε μία από στις παρακάτω κατηγορίες:
α. έχει μείνει μικρό υπόλειμμα μετά την χειρουργική επέμβαση, διότι δεν ήταν εφικτό να αφαιρεθεί πλήρως το μηνιγγίωμα,
β. έχει αφαιρεθεί πλήρως αλλά η παθολογοανατομική εξέταση έδειξε ότι είναι άτυπο (Βαθμού ΙΙ) ή αναπλαστικό (Βαθμού ΙΙΙ).
γ. ο ασθενής είναι πολύ εξασθενημένος για να υποβληθεί σε χειρουργική επέμβαση. Σε αυτούς τους ασθενείς, η ακτινοθεραπεία είναι η μοναδική επιλογή.
Σκοπός της ακτινοθεραπείας είναι να καταστήσει “ανενεργά” τα κύτταρα του μηνιγγιώματος και έτσι να ελαχιστοποιήσει κάθε πιθανότητα υποτροπής του όγκου.
Η ακτινοθεραπεία δεν χρησιμοποιείται ως θεραπεία πρώτης επιλογής διότι δεν είναι αποτελεσματική, σε πολλές περιπτώσεις, ιδιαίτερα σε μεγάλους όγκους.
Επίσης, μπορεί να μεταβάλλει την σύσταση του όγκου σε σκληρότερη και εάν χρειασθεί, στο μέλλον, να υποβληθεί α ασθενής σε χειρουργική επέμβαση, αυτή να είναι αρκετά δυσκολότερη.
Η ακτινοθεραπεία χρησιμοποιεί μεγάλες μηχανές-γεννήτριες ακτινοβολίας μεγάλης ισχύος για να παράγει ακτίνες με τις οποίες στοχεύει τα κύτταρα του όγκου.
Πρόοδοι στην ακτινοθεραπεία επιτρέπουν να αυξάνεται η δόση στο μηνιγγίωμα, ενώ συγχρόνως μειώνεται η ακτινοβολία στους υγιείς γειτονικούς ιστούς.
Οι μέθοδοι ακτινοθεραπείας που μπορεί να χρησιμοποιηθούν στα μηνιγγιώματα περιγράφονται παρακάτω:
Η στερεοτακτική ακτινοθεραπεία είναι η καλύτερη σύγχρονη μέθοδος, ιδιαίτερα για μικρά υπολείμματα όγκων που δεν ήταν ασφαλές να αφαιρεθούν χειρουργικά, ή για όγκους με τάση να υποτροπιάσουν.
Αξιοποιεί τεχνολογία ηλεκτρονικών υπολογιστών ώστε η ακτινοθεραπεία να επικεντρώνεται - με στόχευση ακριβείας - στο μικρό εναπομείναν τμήμα του όγκου χωρίς να διαχέεται η ακτινοβολία σε γειτονικούς υγιείς ιστούς.
Λόγω της ακρίβειας της στόχευσης, ονομάζεται συχνά στερεοτακτική ακτινοχειρουργική, αλλά δεν χρησιμοποιούνται χειρουργικά εργαλεία και δεν διανοίγεται κάποια τομή.
Η κλασματοποιημένη στερεοτακτική ακτινοθεραπεία απονέμει ακτινοβολία σε μικρές ημερήσιες δόσεις, σε μία εκτεταμένη χρονική περίοδο.
Συνήθως, προτιμάται σε όγκους που είναι πολύ κοντά σε κρίσιμες δομές, όπως τα κρανιακά νεύρα, τα οποία εάν δεχθούν ακτινοβολία μπορεί να βλαφθούν.
Η ακτινοθεραπεία ρυθμιζόμενης έντασης (intensity-modulated radiation therapy - IMRT) αξιοποιεί τεχνολογία ηλεκτρονικών υπολογιστών ώστε η ένταση της ακτινοθεραπείας να διαμορφώνεται με πιστότητα στο σχήμα του όγκου.
Αυτό μπορεί να αποδειχθεί πολύ χρήσιμο σε πολύλοβα μηνιγγιώματα περίπλοκου σχήματος.
Η ακτινοθεραπεία δέσμης πρωτονίων (proton beam radiation) χρησιμοποιεί ραδιοενεργά πρωτόνια που στοχεύονται με ακρίβεια στον όγκο ελαχιστοποιώντας την ακτινική βλάβη στους παρακείμενους ιστούς.
Φαρμακοθεραπεία
Σε γενικές γραμμές, τα μηνιγγιώματα δεν ανταποκρίνονται σε φαρμακευτικές θεραπείες.
Η φαρμακευτική θεραπεία αποτελεί επιλογή ανάγκης, σε ορισμένες περιπτώσεις, στις οποίες η χειρουργική θεραπεία και η ακτινοθεραπεία δεν μπορούν να προσφέρουν λύση.
Η φαρμακευτική προσέγγιση περιλαμβάνει κλινικές μελέτες με χημειοθεραπείες, ανοσοθεραπείες και μοριακές θεραπείες.
Η αποτελεσματικότητα όλων αυτών των σημαντικών ερευνητικών προσεγγίσεων δεν έχει ακόμη αποδειχθεί.
Πρόγραμμα αποκατάστασης
Όπως προαναφέρθηκε κατά την μετεγχειρητική περίοδο πρέπει να γίνει έλεγχος της επούλωσης του τραύματος, και διακοπή των φαρμάκων, ιδιαίτερα των αντιεπιληπτικών.
Η θεραπεία περιλαμβάνει την κατάρτιση απο τον νευροχειρουργό μαζί με τον φυσικοθεραπευτή ενός προγράμματος φυσικοθεραπείας για να επιταχυνθεί η φυσική αποκατάσταση του ασθενούς.
Μέρος της όλης θεραπευτικής αντιμετώπισης είναι και η κατάρτιση ενός προγράμματος επιστροφής στις εργασιακές και κοινωνικές δραστηριότητες.
Τέλος, σε εύλογα τακτά χρονικά διαστήματα πρέπει να γίνεται έλεγχος με μαγνητική τομογραφία.
Συνολική θεώρηση του θεραπευτικού προγράμματος
Η μεθοδολογία που περιγράφεται παραπάνω έχει εφαρμοσθεί, επί σειρά ετών με επιτυχία και αποτελεσματικότητα σε μεγάλο αριθμό χειρουργικών επεμβάσεων που υπερβαίνει τις 500.
Στο πλαίσιο αυτής της καταχώρησης, παρουσιάζεται μικρός αριθμός ενδεικτικών περιπτώσεων χειρουργημένων ασθενών, οι οποίοι έπασχαν από ασυνήθιστες περιπτώσεις μηνιγγιωμάτων που δημιουργούσαν ιδιαίτερες τεχνικές δυσκολίες.
Το Τμήμα μας, επιπρόσθετα των χειρουργικών επεμβάσεων σε εκατοντάδες ασθενείς με δύσκολα μηνιγγιώματα, ιδιαίτερων τεχνικών απαιτήσεων, συμμετέχει σε έρευνες για ανεύρεση συμπληρωματικών θεραπειών σε συνεργασία με μεγάλα κέντρα του εξωτερικού.